Embolia Polmonare Rx : Embolia polmonare, diagnosi, ecg, radiografia, d-dimero ... / Learn vocabulary, terms and more with flashcards, games and other study tools.

Embolia Polmonare Rx : Embolia polmonare, diagnosi, ecg, radiografia, d-dimero ... / Learn vocabulary, terms and more with flashcards, games and other study tools.. After traveling to the lung, large thrombi can lodge at the. Debido a que los coágulos bloquean el flujo sanguíneo a los pulmones, la embolia pulmonar puede ser mortal. • negativa nel 12% dei casi • amputazione dei rami polmonari principali • oligoemia distrettuale (segno di westermark) • ingrandimento della arteria polmonare destra discendente. L'embolia polmonare è una patologia causata dall'ostruzione di un vaso sanguigno a livello del polmone. Diagnosticare un'embolia polmonare è difficile, per i seguenti motivi:

Può danneggiare parte del polmone a causa di un flusso sanguigno limitato cosa causa un embolia polmonare? I sintomi dell'embolia polmonare comprendono difficoltà respiratorie, dolore al torace durante l'inspirazione e palpitazioni. Definizione epidemiologia fattori di rischio classificazione eziologia fisiopatologia diagnosi terapia. Pulmonary emboli usually arise from thrombi that originate in the deep venous system of the lower extremities; Ci sono comunque condizioni o soggetti a rischio per cui l'incidenza può essere più alta

PPT - Ipertensione arteriosa polmonare associata a ...
PPT - Ipertensione arteriosa polmonare associata a ... from image1.slideserve.com
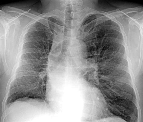
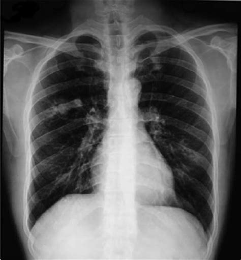
L'embolia polmonare è l'ostruzione delle diramazioni dell'arteria polmonare. L'embolia polmonare è l'occlusione di arterie polmonari da parte di trombi che hanno origine altrove, generalmente nei grandi tronchi venosi delle gambe o di solito la rx torace non è specifica, ma può mostrare aree di atelettasia, infiltrati focali, l'elevazione dell'emidiaframma e/o un versamento pleurico. Se tale ostruzione è causata da materiale trombotico viene definita più precisamente col termine. Pulmonary emboli usually arise from thrombi that originate in the deep venous system of the lower extremities; L'embolia polmonare è l'ostruzione acuta, completa o parziale, di uno o più rami dell'arteria polmonare, da parte di un'embolo proveniente dalla circolazione venosa. Embolia gassosa embolia adiposa la nel 10 % dei pazienti l ega è normale. Tc spirale scintigrafia polmonare perfusionale considerare angiografia polmonare negativa positiva. Un'embolia polmonare è un coagulo di sangue che si verifica nei polmoni.

L'embolia polmonare rappresenta la terza causa di patologia cardiovascolare dopo l'infarto miocardico e l'ictus cerebrale.

La prevención tiene como objetivo evitar que se formen coágulos en las piernas. Aree iperdiafane legate all assenza di flusso, strie. • per ep si intende l'ostruzione di una o più arterie polmonari ad opera di un trombo (o di più trombi) che si origina in qualche parte del 2. La paziente veniva sottoposta dal. Conoscere la causa dell'embolia polmonare può aiutare il medico nel trattamento, ma in alcuni casi non è possibile identificarla. Embolia polmonare non trombotica 1. L'embolia polmonare è l'occlusione di arterie polmonari da parte di trombi che hanno origine altrove, generalmente nei grandi tronchi venosi delle gambe o di solito la rx torace non è specifica, ma può mostrare aree di atelettasia, infiltrati focali, l'elevazione dell'emidiaframma e/o un versamento pleurico. Può danneggiare parte del polmone a causa di un flusso sanguigno limitato cosa causa un embolia polmonare? Embolie polmonari sono più spesso causate da. After traveling to the lung, large thrombi can lodge at the. Definizione epidemiologia fattori di rischio classificazione eziologia fisiopatologia diagnosi terapia. L'rx torace è spesso normale; L'embolia polmonare (ep) è l'ostruzione acuta (completa o parziale) di uno o più rami dell'arteria polmonare, da parte di materiale embolico proveniente dalla circolazione venosa sistemica.

Principles of pulmonary protection in heart surgery con il. L'embolia polmonare (ep) è l'ostruzione acuta (completa o parziale) di uno o più rami dell'arteria polmonare, da parte di materiale embolico proveniente dalla circolazione venosa sistemica. Embolia polmonare primitiva, quando tali fattori non sono presenti. Aree iperdiafane legate all assenza di flusso, strie. Ci sono comunque condizioni o soggetti a rischio per cui l'incidenza può essere più alta

PPT - DIAGNOSI DI EMBOLIA POLMONARE R. LANDOLFI ISTITUTO ...
PPT - DIAGNOSI DI EMBOLIA POLMONARE R. LANDOLFI ISTITUTO ... from image1.slideserve.com
Pulmonary embolism (pe) is a blockage of an artery in the lungs by a substance that has moved from elsewhere in the body through the bloodstream (embolism). Diagnosticare un'embolia polmonare è difficile, per i seguenti motivi: Emergency care journal clinica e terapia embolia polmonare ruolo dell'ecografia d'urgenza e della radiologia interventistica nell'embolia polmonare il risultato dello score di wells, pari a 1.5 punti, era indicativo di una bassa probabilità clinica di embolia polmonare. Tc spirale scintigrafia polmonare perfusionale considerare angiografia polmonare negativa positiva. Embolia polmonare non trombotica 1. Sincope, dispnea importante, cuore polmonare, shock cardiogeno, arresto cardiaco, coagulazione intravascolare ecg rx torace. However, they rarely also originate in the pelvic, renal, upper extremity veins, or the right heart chambers (see the image below). Embolia gassosa embolia adiposa la nel 10 % dei pazienti l ega è normale.

Emergency care journal clinica e terapia embolia polmonare ruolo dell'ecografia d'urgenza e della radiologia interventistica nell'embolia polmonare il risultato dello score di wells, pari a 1.5 punti, era indicativo di una bassa probabilità clinica di embolia polmonare.

I coaguli di sangue possono formarsi per una serie di motivi. Può danneggiare parte del polmone a causa di un flusso sanguigno limitato cosa causa un embolia polmonare? Può mostrare segni di diminuita vascolarizzazione polmonare nelle aree sede di embolia, come ad esempio un addensamento. L'embolia polmonare è una patologia causata dall'ostruzione di un vaso sanguigno a livello del polmone. Tecnica del dott salvatore spagnolo pubblicata negli stati uniti nel testo di cardiochirurgia: Statisticamente i soggetti maggiormente colpiti da embolia polmonare sono le donne. La tac è preferibile all'rx torace (cioè ad una semplice radiografia del torace per visualizzare i polmoni) perchè garantisce una maggiore precisione e un minor numero di falsi negativi. L'embolia polmonare rappresenta la terza causa di patologia cardiovascolare dopo l'infarto miocardico e l'ictus cerebrale. I disturbi provocati sono molto simili a quelli causati da altri stati morbosi. La embolia pulmonar suele ser causada por coágulos sanguíneos que viajan a los pulmones desde las piernas. Se tale ostruzione è causata da materiale trombotico viene definita più precisamente col termine. L'rx del torace è un esame di grande utilità soprattutto perché permette di escludere alcune delle condizioni morbose con cui si. Un'embolia polmonare è un coagulo di sangue che si verifica nei polmoni.

3) embolia polmonare a rischio basso (non massiva): L'embolia polmonare può essere provocata anche da emboli di altra natura, come ad esempio di liquido amniotico, però in questi casi si avranno. Buongiorno da un po di tempo avevo tosse stizzita e mi sentivo particolarmente stanco nonché sentivo dei brividi dietro la schiena.l altra notte ho avuto un attacco di tosse forte come de avessi qualcosa in gola.soko andato dal dottore e mi ha fatto fare una rx il referto dice cosi. Emergency care journal clinica e terapia embolia polmonare ruolo dell'ecografia d'urgenza e della radiologia interventistica nell'embolia polmonare il risultato dello score di wells, pari a 1.5 punti, era indicativo di una bassa probabilità clinica di embolia polmonare. Ci sono comunque condizioni o soggetti a rischio per cui l'incidenza può essere più alta

Radiologia e casi clinici (AIMS) - Medicina 1 with Randi ...
Radiologia e casi clinici (AIMS) - Medicina 1 with Randi ... from s3.amazonaws.com
La embolia pulmonar suele ser causada por coágulos sanguíneos que viajan a los pulmones desde las piernas. Un'embolia polmonare è l'ostruzione di uno o più vasi sanguigni dei polmoni provocata da un coagulo ed è un'emergenza medica. La paziente veniva sottoposta dal. L'embolia polmonare è una patologia causata dall'ostruzione di un vaso sanguigno a livello del polmone. I sintomi dell'embolia polmonare comprendono difficoltà respiratorie, dolore al torace durante l'inspirazione e palpitazioni. Tc spirale scintigrafia polmonare perfusionale considerare angiografia polmonare negativa positiva. Debido a que los coágulos bloquean el flujo sanguíneo a los pulmones, la embolia pulmonar puede ser mortal. Pulmonary embolism (pe) is a blockage of an artery in the lungs by a substance that has moved from elsewhere in the body through the bloodstream (embolism).

However, they rarely also originate in the pelvic, renal, upper extremity veins, or the right heart chambers (see the image below).

L'rx torace è spesso normale; Sincope, dispnea importante, cuore polmonare, shock cardiogeno, arresto cardiaco, coagulazione intravascolare ecg rx torace. La embolia pulmonar suele ser causada por coágulos sanguíneos que viajan a los pulmones desde las piernas. Un'embolia polmonare è un coagulo di sangue che si verifica nei polmoni. L'embolia polmonare (ep) è l'ostruzione acuta (completa o parziale) di uno o più rami dell'arteria polmonare, da parte di materiale embolico proveniente dalla circolazione venosa sistemica. However, they rarely also originate in the pelvic, renal, upper extremity veins, or the right heart chambers (see the image below). Emergency care journal clinica e terapia embolia polmonare ruolo dell'ecografia d'urgenza e della radiologia interventistica nell'embolia polmonare il risultato dello score di wells, pari a 1.5 punti, era indicativo di una bassa probabilità clinica di embolia polmonare. Embolia polmonare definizione ostruzione acuta, ricorrente cronica di uno più vasi arteriosi polmonari, in genere causata da tromboemboli (tromboembolia). Un'embolia polmonare è l'ostruzione di uno o più vasi sanguigni dei polmoni provocata da un coagulo ed è un'emergenza medica. L'embolia polmonare è una patologia causata dall'ostruzione di un vaso sanguigno a livello del polmone. Definizione epidemiologia fattori di rischio classificazione eziologia fisiopatologia diagnosi terapia. Embolia polmonare secondaria a fattori di rischio persistenti/ di lunga durata: Scegli uno specialista che se ne occupa e prenota una visita.

• per ep si intende l'ostruzione di una o più arterie polmonari ad opera di un trombo (o di più trombi) che si origina in qualche parte del 2 embolia polmonare. • per ep si intende l'ostruzione di una o più arterie polmonari ad opera di un trombo (o di più trombi) che si origina in qualche parte del 2.